Get a quote

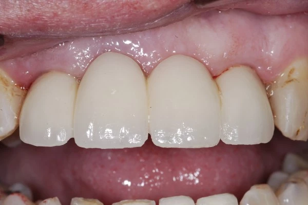
Single Tooth Implant

Get in touch

If you require professional dental health care, we offer plenty of solutions which include general oral health techniques. We can fit a single tooth implant as well as establishing a continuous strategy with a range of cosmetic treatments. For whatever you require, we will set up a tailored course of action that works for you. We offer both services for a individual tooth and multiple teeth.

Speak to our specialists today to get additional information on the variety of care solutions http://www.teeth-implants.co.uk/ We could talk about all the different options and answer any queries you might have as to what we do.

What is a Single Tooth Implant?

A single tooth implant is an artificial root and crown which can be fitted where one tooth has been lost or extracted. Lots of elements, both genetic and environmental, may have an impact on the look of your teeth. Thankfully, the work offers treatments for dental issues. In order to give yourself a more attractive smile, cosmetic dental care will most likely be the path to consider. Our team can come up with an approach for you personally which is totally unique to what you want, and will match your present features.

A professional cosmetic dental practitioner is able to make every person's smile attractive but also unique and more natural than ever before http://www.teeth-implants.co.uk/cosmetic/dentistry/ If you've got special requirements with regards to your care, we provide numerous services for our unique patients. If you plan on getting single implants, we strongly recommend that you research the providers beforehand to ensure they have positive reviews. This is because it will mean that you are given relief as you will not need to stress on the final product.

Single Tooth Services

One of our expert dental consultants will discuss with you exactly what look you would like your smile to have, and offer a solution that would be perfect for you. The sort of care is completely dependent on what the patient wants, but we offer an array of treatments. Our team offer gum contouring to enhance the shape of gums and take off extra tissue giving a better smile. Many other services like individual tooth implants, whitening, and brand new crowns may also be provided for our patients. Brand new implants are usually given to individuals who have got missing teeth so as to enhance the overall look and function. Our own dental implants use a full root with the crown which makes them much more comparable to real teeth compared to standard prosthetics. Because of this, the single implants feel and look like natural teeth, and they operate in exactly the same way as well.

Best Dentistry Help near me

These implants mean you can have every kind of food because they act in the same way as real teeth. As they perform much like natural ones, the implants provide many more advantages than the cosmetic appearance. People who have tooth staining or genetic discolouration may try tooth whitening to lighten them. When a tooth is damaged or in need of re-shaping, synthetic veneers are usually a solution, as well as crowns that enhance a natural individual tooth. If the tooth becomes overcrowded or does not align correctly in the mouth, you may opt to get orthodontic braces that straighten them and produce a more appealing smile. For those who have had a face injury, it's possible to have damaged jaw bones or perhaps missing teeth as a result. Our own experienced dentists can use false implants to restore teeth which were missing, and also talk with other medical professionals to take care of issues with your jawbones.

Excellent Tooth Support

Cosmetic dentistry costs are calculated on a case to case basis. A lot of people just want very simple enhancements, while others desire complex smile refurbishments. We always try to keep the costs as cost-effective as possible, nevertheless, the feeling of having a great smile is really priceless. Have a look at the costs for dental implants by clicking here http://www.teeth-implants.co.uk/implants/costs/ One of the experts would be happy to discuss with you several payment options and also create a system that works best for yourself. We understand the importance of teeth and always aim to ensure that your smile looks excellent. By enquiring with us, you will be provided that you are receiving an excellent, trustworthy service with all of the requirements to consequence in a great final product.

Other Implant Services We Provide

Contact Us

Our staff can discuss a single tooth-implant and we will respond to all of your queries so be sure to get in touch straight away for extra details on our treatments. Once we know exactly what you’re looking for, we can set up an appointment with one of the top rated cosmetic dentists.

Get in touch

We aim to get back to you in 1 working day.


Skip to

Gallery

Single Tooth Implant 0 Single Tooth Implant 1 Single Tooth Implant 2 Single Tooth Implant 3 Single Tooth Implant 4 Single Tooth Implant 5 Single Tooth Implant 6 Single Tooth Implant 7 Single Tooth Implant 8 Single Tooth Implant 9 Single Tooth Implant 10 Single Tooth Implant 11 Single Tooth Implant 12 Single Tooth Implant 13 Single Tooth Implant 14 Single Tooth Implant 15

Legal information